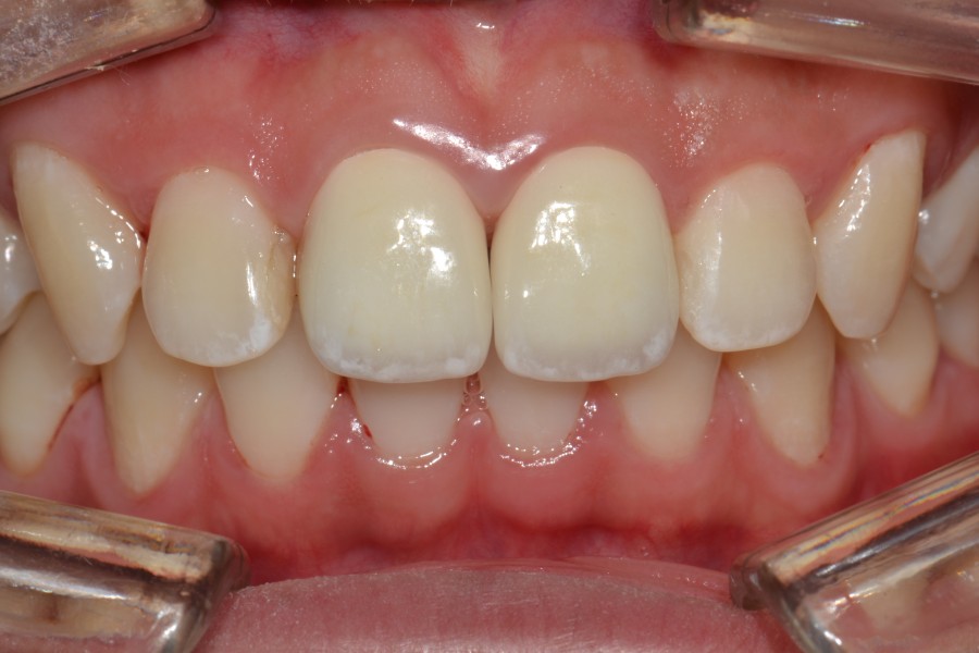
인쇄하기/글자확대.축소 기본 크게 더크게 인쇄 목록보기 심미보철 | 앞니 지르코니아 세라믹 보철 치료 본문 Before > After 앞니 사이에 충치치료를 받은 후 시간이 지나면서 변색 및 2차 충치가 생겨서 신경치료 후 지르코니아 세라믹 크라운치료를 받았습니다.주변 치아와 조화를 이루며 자연스러운 모습을 보이고 있습니다. 인쇄하기/글자확대.축소 기본 크게 더크게 인쇄 목록보기 이전글 ▲MTA신경치료 다음글 ▼다수 임플란트 치료 댓글목록 등록된 댓글이 없습니다. 이전글 다음글 목록보기